TopDent

Protetika

Izdelava zobno-protetičnih nadomestkov (umetnih zob) iz  najsodobnejših materijalov z sodobnimi rešitvami. Sem spadajo vsa fiksna, snemna in kombinirana dela (krone, mostički, proteze), tudi na implantatih.

Protetiko delimo na:

  • Snemno protetiko – totalne in delne ali parcijalne proteze, katere so lahko izdelane iz akrilata ali kovine.
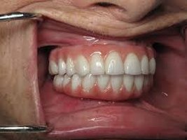
  • Fiksno protetiko – prevleke in mostički kateri so lahko izdelani iz akrilata (začasni), fasetirane prevleke (kovinsko kompozitne), kovinskokeramične, polnokeramične in cirkonkeramične
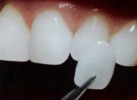
  • Estesko protetiko – fasete in inleji (plombe) enako tako narejeni iz različnih materialov  kompozita, keramike, cirkona.
  • Kaj je cirkon? to je vrsta keramike sintrana na visoki temperaturi zaradi česar ima visoko trdoto. Uporablja se kot osnova za peko navadne keramike. Na ta način dobimo izdelek vrhunskih estetskih in mehaničnih lastnosti. Prevleke izdelane iz cirkonkeramike so biološko najbolj sprejemljive za dlesen, in imajo najbolj naraven videz zaradi svoje prosojnosti ali transparence. Trenutno je to najboljši materijal za izdelavo umetnih zob na tržišču in zaradi tega ima tudi najvišjo ceno.

Odvisno od vaše starosti, stanja vaših zob, pogojih v ustih, navad, stanja kosti in obzobnih tkiv ter vašega splošnega zdravstvenega stanja vam svetujemo vrsto in material nadomestka.

Ponudimo vam vedno nadomestek za katerega garantiramo da se bo najbolje obnesel in trajal najdlje časa.

  • Za protetične izdelke garantiramo po splošno veljavnih garancijskih dobah =  1leto.
  • Kaj je garancijska doba? Garancijska doba je časovno obdobje v katerem zobozdravnik na svoje stroške odpravi morebitne napake pri opravljeni storitvi.
  • Garancija se vedno nanaša na sam zobnoprotetični izdelek in ne na vaše zobe ali obzobna tkiva. Na stanje vaših zob in obzobnih tkiv slabo vpliva več faktorjev, kot so: močno kajenje, slaba higijena, odsotnost kontrolnih  pregledov, različne bolezni kot so osteoporoza, dijabetes, jemanje različnih zdravil itd.
  • V primeru da do poškodovanja ali preloma protetičnega izdelka pride zaradi neustreznega ravnanja pacienta, ne pa iz razloga anatomskih in funkcionalnih sprememb  tekom garancijske dobe, stroške popravila ali zamenjave krije pacient sam.
  • Kaj je pa trajnostna doba nadomestkov? Trajnostna doba je povprečna življenska doba in znaša za:

Prevleke in mostičke 7 let, za navadne (akrilatne) proteze 5 let,kovinske proteze 7 let, za laboratorijsko izdelane zalivke (inleji) 3 leta in za začasne proteze 1 leto. V praksi, zobnoprotetični nadomestki trajajo dosti dlje, tudi 20 let in več.

Prevleke

Prevleke

Prevleke